Protetika

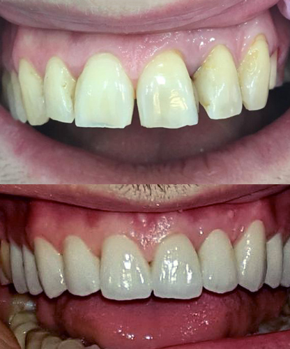
Protetske nadomjestke koristimo kod velikog oštećenja zuba. Ljuskice su estetski nadomjesci koji ispravljaju nepravilnosti zuba. Inlay i overlay ispuni nadoknađuju dio izgubljene krune zuba, a krunica prekriva kompletan preostali dio krune zuba. Ako postoji gubitak više zubi, izrađujemo mostove te potpune i djelomične proteza. Dio svakodnevne stomatološke prakse je i izrada protetskih nadomjestaka na implantatima.

Protetika
Protetika
Protetika
Često postavljena pitanja.
ZAŠTO JE POTREBNO NADOKNADITI IZGUBLJENE ZUBE?

Osim iz estetskih razloga, iznimno je važno nadoknaditi svaki izgubljeni zub kako ne bi došlo do promjena na ostalim zubima (pomicanje, naginjanje, ispadanje susjednih zubi, bol u zglobu i sl.).

MOGU LI PROTEZE BITI KVALITETAN NADOMJESTAK IZGUBLJENIH ZUBI?

Mogu. Današnji materijali i tehnologije omogućuju nam izradu zubnih proteza koje su funkcijski i estetski potpuno zadovoljavajuće, a u nekim slučajevima i preporučljive kao terapijsko sredstvo.

KAKO DA NORMALNO FUNKCIONIRAM TIJEKOM VREMENA IZRADE PROTETSKOG NADOMJESTKA?

Svojim pacijentima osiguravamo privremene protetske nadomjestke kako bi najnormalnije mogli nastaviti sa svakodnevnim obavezama.